States told to arm primary health centres in fight against TB

In an effort to meet its ambitious target to eradicate tuberculosis (TB) by 2025 — five years ahead of the target fix

Improving the stability, bioavailability of TB FDC drug

By using caffeine and vanillic acid, the researchers were able to inhibit cross-reaction between isoniazid and rifamp

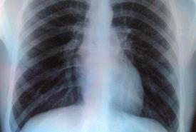
In AI, radiology finds a new ally

An artificial intelligence tool to interpret chest X-rays shows promise in Bengaluru trials Reading a chest X-ray is

Countries pledge billions to fight tuberculosis worldwide

The WHO has said governments have agreed to contribute $13 billion a year by 2022 to prevent and treat tuberculosis,

Going the distance: How long travel is impeding TB patients' recovery

Long travel to access diagnosis and treatment for TB often pushes patients to drop out mid-way, says a forthcoming st

Why people with diabetes are at a high risk of tuberculosis.

India has the largest number of TB patients in the world and the second-largest number with diabetes.

World Health Organization Report

The WHO has released a multisectoral accountability framework to accelerate progress to end the TB epidemic.